エコーについてultrasonography

エコーで得られる画像

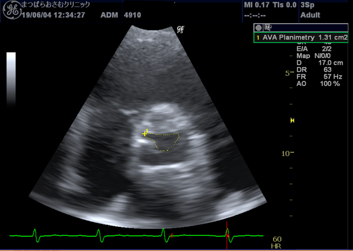
当院では、心臓超音波検査(心エコー)をはじめとした高精度なエコー検査を行っています。 心臓の動きや弁の状態、血流の流れをリアルタイムで確認できるため、不整脈・心不全・心雑音・狭心症などの早期発見に非常に有効です。



実施しているエコー検査



頸部エコー 首にある頸動脈の血流や血管の状態を超音波で調べる検査です。
この検査によって、動脈硬化の進み具合や血管のつまり(狭窄)、プラーク(血管内のコレステロールの塊)などを確認することができます。
心エコー 心臓の動きや構造を観察する検査です。
胸にプローブ(探触子)を当てるだけで、心臓の大きさ、動き、弁の状態、血流の様子などをリアルタイムで確認できます。
腹部エコー おなかの中の臓器の状態を調べる検査です。
皮膚の上からプローブ(探触子)を当てるだけで、肝臓・胆のう・膵臓・腎臓・脾臓・膀胱などの様子を画像で確認できます。
下肢エコー 足の血管(特に静脈)の状態を調べる検査です。
プローブ(探触子)を足にあてて、血管のつまり(血栓)や血流の異常がないかを確認します。
《Web Design:Template-Party》